他院にてメンテナンスを継続していたが歯周病が急激に進行?抜歯を勧められた不信感からオールオン4ザイゴマインプラントを決意した症例

zygoma case
今回は当協会理事 大多和徳人先生が2024年に行った、上顎ザイゴマインプラント4本の手術症例の発表です。下記、ご参照ください。
左:初診時
右:最終補綴セット時
 
初診時患者情報
氏名:E.O 様
50歳、女性
福岡県在住の患者様

主訴:歯周病が進行しているのか診て欲しい

現病歴:
当時、かかりつけだった歯科医院にメンテナンスでかかっていたが、歯周病が急激に進行して抜歯が必要と診断された。メンテナンスにしっかりと通っていたとの事で、急に抜歯を勧められた事を受け入れられず、抜歯の必要性やオールオン4の必要性を考えて、R6.5 当院初診。

既往歴:特記事項なし

常用薬:なし

生活歴:飲酒なし、喫煙なし

術前顔貌所見

笑顔の時の顔貌は、…続きを読む

術前パノラマ画像所見

7-3 1┴1-7は残存歯…続きを読む

術後パノラマ画像所見

上顎に4本ザイゴマインプラントと…続きを読む

結果

オールオン4ザイゴマインプラント…続きを読む

術前顔貌所見

笑顔の時の顔貌は、顔貌はほぼ左右対称。鼻唇溝は両側とも深い。バッカルコリドーは認めない。オトガイ部の皺なし。

上顎の正中は顔貌の正中と一致し、上顎正中に対して下顎正中は左側に偏位している。


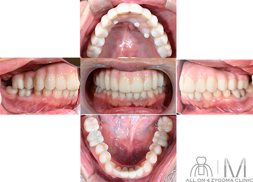
術前口腔内所見

上顎はマージンが見える場所が数か所あり、21┴1の辺縁歯肉は金属による変色を認める。他部位の歯肉はピンク色を呈している。口蓋部には口蓋隆起を認める。Angleは右がⅢ級、左がⅡ級。 上顎正中に対し、下顎が左側に偏位。


術前パノラマ画像所見

7-3 1┴1-7は残存歯、2┘は欠損。6541┴146は失活歯。5┴46はper様所見を認める。上顎は中等度~高度の水平性骨吸収を認める。7┴7で強い。両側上顎骨の異常吸収像を認める。 下顎は7-1┬1-7は残存歯。761┬126は失活歯。明らかな根尖病変を示唆する歯は認めない。軽度~中等度の水平性骨吸収を認める。


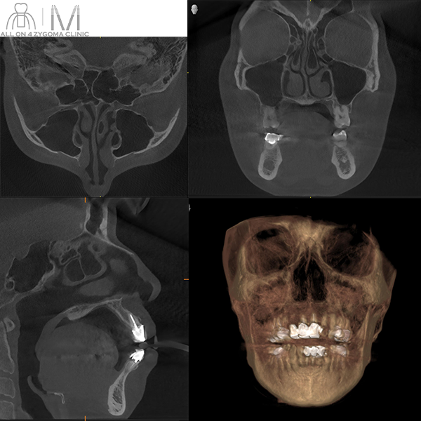
術前CT画像所見

上顎前歯部~臼歯部の頬側歯槽骨は著明な吸収像を呈しており骨が菲薄化している。両側頬骨はやや菲薄ではあるが骨幅は一応認められる。 両側上顎洞に上顎洞炎を示唆する明らかな所見は認めない。


治療計画

歯槽骨の頬舌方向のボリュームが少なくノーマルインプラントの埋入が困難である事が示唆された。前歯部と臼歯部で歯槽堤の高低差が大きいことから、安定度を高めるプラットフォームの設計が必要であると考えた。また、頬骨に十分な厚みがある事からザイゴマインプラント4本を用いるオールオン4ザイゴマインプラント治療 (EZ4) を計画した。手術を円滑なものとする為、術中は静脈内鎮静法下での手術を予定した。


手術所見

7月某日 静脈内鎮静法下に手術施行

術式:静脈内鎮静法下、上顎オールオン4
(7-3 1┴1-7抜歯術、ザイゴマインプラント埋入術)施行

手術時間:1時間28分


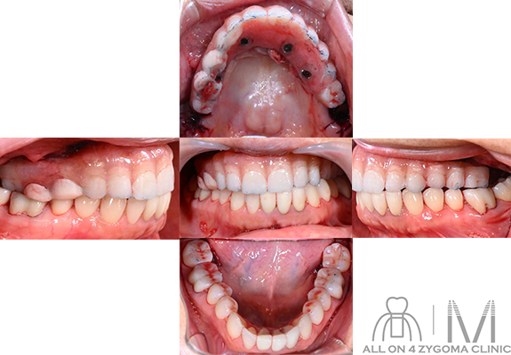
術後口腔内所見

術直後の写真。上顎のプロビジョナルレストレーションの2┴25相当部の口蓋側に3つのアクセスホールを認め、5┘に1つのアクセスホールが認められる事から、All-on-4である事が確認出来る。上顎は顔貌の正中と合わせているため、下顎の正中が一致していない。Angle分類は術前と変化していない。


術後パノラマ画像所見

上顎に4本ザイゴマインプラントと4本のアバットメントにテンポラリーシリンダーが装着されているのを認める。左右の上顎洞に明らかな曇りは認めない。

術後顔貌所見

顔貌は左右対称、上顎正中の位置は術前と殆ど同一の位置にある。上顎の正中と下顎の正中の位置関係も術前と同じ位置関係にある。上顎は前歯の一部しか認めない。下顎は歯肉部まで露出している。

鼻唇溝は大きな著変なし。

試適

R6年10月

CAD/CAMで製作したプロトタイプを患者の口腔内にて試適。患者の希望で、2┴2を1┴1より1mm短く、3┴3の尖頭を同様の形態にとの事だった。歯の色はA2を希望された。

口腔外所見:口角の位置は左右差なし、プロビジョナルレストレーション時と比較して、上顎の歯のみを認める。下唇のアーチに沿った形態をしている。バッカルコリドーは認めない。

口腔内所見:上顎正中に対して下顎正中は左側に偏位。

最終補綴物セット

R6年11月

試適したプロトタイプをもとに、ジルコニアミリングマシンを使用して、モノリシックジルコニアの上部構造を作成しステイニングにて歯肉および歯牙の色を調整。術後4か月に患者様の口腔内にセット。色や歯の形態は患者様のご要望通りに作成しており、写真から要望に沿った形態と色である事が確認出来る。

最終補綴物セット後の顔貌所見

顔貌はほぼ左右対称、リップサポートを認め、スマイルラインは下唇上部に沿うような理想的な湾曲を描いている。下顎の歯を一部認める。

上顎正中は顔貌の正中に一致している。バッカルコリドーは認めない。

鼻唇溝は著変なし。


最終補綴物セット後の
口腔内所見

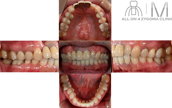
最終補綴物セット後の写真。上顎の最終補綴物の2┴25相当部の口蓋側に3つのアクセスホール、5┘にアクセスホールを1つ認め、オールオン4である事が確認出来る。上顎は顔貌の正中と合わせているため、下顎の正中とズレている。Angle分類は右がⅢ級、左がⅠ級関係となっている。


結果

オールオン4ザイゴマインプラント治療 EZ4を行う事で、歯周病で著しい頬側歯槽骨吸収を認めた患者の治療が可能だった。ご本人からは他院で歯周病と診断されて抜歯を勧められた時は絶望感を感じましたが、今回、オールオン4ザイゴマインプラント手術を受けた事で、希望に繋がりました。今後、関西方面に転居予定ですが、歯がしっかり入ったので安心しています。引き続きメンテナンス宜しくお願いしますとの事だった。

コメントを残す