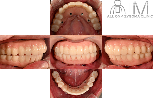
両側上顎は前臼歯歯槽骨に十分なボリュームがないが、頬側に十分なスペースの確保が見込めた。下顎は菲薄な部位はあるものの5┬5を骨整形する事で十分な骨幅の確保が見込めると判断し、この部位に4本ノーマルインプラント埋入予定とした。前歯~小臼歯部で歯槽堤の高低差が大きいことから、安定度を高めるプラットフォームの設計が必要であると考えた。また、頬骨に十分な厚みがある事からザイゴマインプラント4本を用いる上下顎All-on-4治療 を計画した。手術を円滑なものとする為、術中は静脈内鎮静法下での手術を予定した。